最新
新聞
時事新聞
健康新聞
實用新聞
財經新聞
科技新聞
娛樂
音樂綜藝
影視新聞
娛樂新聞
八卦話題
趣味貼圖
奇趣見聞
故事
勵志感人
愛情故事
婚姻家庭
笑話大全
驚悚可怕
長短小說
心情日記
生活
生活百科
育兒親子
旅遊景點
美食天地
養生保健
流行時尚
寵物資訊
體育競賽
星座生肖
命理占卜
興趣
電玩資訊
動漫資訊
攝影技術
汽車機車
投資理財
軍事討論
詩歌文學
彩券博弈
科技
行動3C
硬體資訊
軟體資訊
精彩評測
開箱分享
科技產品
熱門
本日熱門
本週熱門
本月熱門
年度熱門
全部熱門
頻道
熱門頻道
最新頻道
會員
登入
註冊
📣
最新
📰
新聞
⚽
娛樂
🗿
故事
☀
生活
🎮
興趣
📱
科技
🔥
熱門
📇
頻道
會員
登入
註冊
會員登入
使用 Facebook 帳號
或是
登入
忘記密碼
*系統將會發送重設密碼信件至您的信箱。
*若您於1小時內沒收到信,請檢查垃圾信件夾。
快速註冊
使用 Facebook 帳號
或是
公開暱稱
信箱
密碼
密碼確認
註冊前請詳閱
使用條款
及
隱私條款
同意並註冊
FUN01 創作分享
頻道
LISA
LISA
文章:5793
關注:16
關注
所有分類
時事新聞
健康新聞
實用新聞
影視新聞
娛樂新聞
八卦話題
趣味貼圖
勵志感人
愛情故事
笑話大全
驚悚可怕
生活百科
旅遊景點
美食天地
養生保健
流行時尚
寵物資訊
星座生肖
測驗占卜
婚姻家庭
育兒親子
電玩資訊
動漫資訊
汽車機車
投資理財
行動3C
硬體資訊
科技產品
奇趣見聞
最新文章
熱門文章
LISA
該怎麼正確不傷耳的清耳垢?原來清耳垢千萬不能用棉花棒,用了反而會導致...,我居然錯了這麼多年!
LISA
2015年最強減肥秘方,月瘦15斤以上,可惜沒有幾個人知道!
LISA
『很想幫兒子承擔...』,黑人范范大兒子高燒不退腹瀉不止,醫生說還好范范都這樣做...很重要父母都該看!
LISA
女孩每天都在撕腳皮...存了20年後竟然發現...!
LISA
恐怖!只吃一口,6000條蟲子進肚子!(緊急擴散!)
LISA
原來如此!女人臉上脂肪粒去除,只需四個步驟!( 非常多人都有,分享出去功德無量)
LISA
超猛!「隋棠」母體只胖0.7,寶寶就佔了0.65!肉只長在胎兒身上!因為她每天都…
LISA
男人開刀後取出「420顆」腎結石...醫生也發毛!只因為他長年吃「某樣東西」
LISA
女生小便後擦拭方向應該由尿道向前還向後?天啊!有90%的人可能都弄錯了!難怪婦科病這麼多人有...
LISA
汗從哪裡冒出,病就從哪裡來!原來「私處」流汗是...絕對你一定要看!
LISA
為什麼睡覺時會突然抖一下!?原因真是太可怕了!
LISA
只要用檸檬加上這個,就可以讓你的黑頭通通消失!不騙你,真的超有效!
LISA
你切水果的方法錯了好久!奇異果、芒果、鳳梨、橘子、西瓜這樣切,超好拿啊!
LISA
警惕阿!為什麼是他得肝癌?原來這8種人最容易得癌症!你肯定中了不只一項...看完一定要分享!
LISA
會毀掉女人身體的7種姿勢,男人如果愛妳,就不會強迫妳做!
LISA
女性的妹妹異味太重很尷尬!3種方法教你去除,再臭都可以變香的!
LISA
擠痘痘擠了這麼多年,你知道那白白的東西是什麼嗎?
LISA
藍心湄靠這個,兩個月鏟肉 5公斤!健康又不餓肚子,想健康瘦身的人一定要學起來!
LISA
安鈞璨其實三年前就知道自己得了癌症,想不到他知道後第一件事竟然不是休息...反而拼命工作,理由真的太令人傷心了
LISA
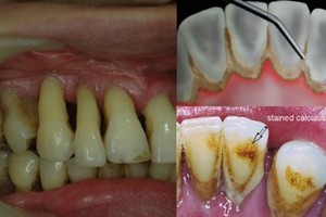
「洗牙」又酸又疼、齒縫越洗越大!難道弄錯了嗎...?洗牙的四大真相有99%的人都不明白...
« 上頁
1
2
94
95
96
97
98
99
下頁 »
Facebook
×
已複製到剪貼簿